coppia abbracciata

La prevenzione è importante!

Richiedi un check-up gratuito

CHECK-UP GRATUITO!
CHECK-UP GRATUITO!

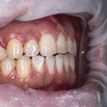
Ponte dentale - pagina 5

Ponte dentale scheggiato

Ponte dentale scheggiato

Il ponte dentale è una protesi molto importante, ma se sottoposto ad una torsione o ad un attrito troppo forte può rimanere scheggiato. Scopriamo le cause!

Leggi l'articolo
Ponte dentale mobile

Ponte dentale mobile

Oltre a ripristinare la funzionalità dei denti del paziente, il ponte dentale mobile si integra perfettamente con i denti naturali. Scopri come!

Leggi l'articolo
Come pulire i ponti dentali fissi

Come pulire i ponti dentali fissi

Se ti stai chiedendo come pulire i ponti dentali fissi, sappi che basta seguire pochi, semplici passaggi. Leggi subito come fare!

Leggi l'articolo
Rimozione ponte dentale

Rimozione ponte dentale

La rimozione del ponte dentale di solito si rende necessaria a seguito di una possibile rottura oppure quando è stato mal posizionato da parte del dentista

Leggi l'articolo
Infiammazione sotto un ponte dentale

Infiammazione sotto un ponte dentale

Un ponte dentale è un dente artificiale che si adatta con una vite all'osso mascellare, identico al dente sostituito, ma questo può causare un'infiammazione.

Leggi l'articolo
Come è fatto un ponte dentale

Come è fatto un ponte dentale

Non tutti conoscono come è fatto un ponte dentale, anche se si tratta di uno dei trattamenti dentali più comuni. Vedremo oggi di approfondire la questione.

Leggi l'articolo
Caduta ponte dentale

Caduta ponte dentale

Anche se è una procedura con percentuali di successo elevate, è sempre più comune ricevere pazienti con problemi di ponte dentale che può subire una caduta.

Leggi l'articolo
Come togliere un ponte dentale

Come togliere un ponte dentale

Se ti stai chiedendo come togliere un ponte dentale, sappi che l'operazione viene eseguita per mezzo di un intervento chirurgico effettuato in anestesia locale.

Leggi l'articolo
Fissare ponte dentale

Fissare ponte dentale

Che cos'è un ponte dentale, come si può fissare, i vantaggi e svantaggi rispetto ad altri trattamenti con pari scopo, così da prendere la decisione giusta.

Leggi l'articolo
Ponte dentale

Ponte dentale

Il ponte dentale, come gli impianti e le protesi parziali, viene utilizzato per sostituire i denti mancanti. Esistono vari tipi di ponti dentali: scopriamoli.

Leggi l'articolo
Ponte dentale a bandiera

Ponte dentale a bandiera

Un ponte dentale a bandiera è una riabilitazione preventiva che sostituisce uno o più denti, fissato alle strutture dentali rimanenti o negli impianti.

Leggi l'articolo